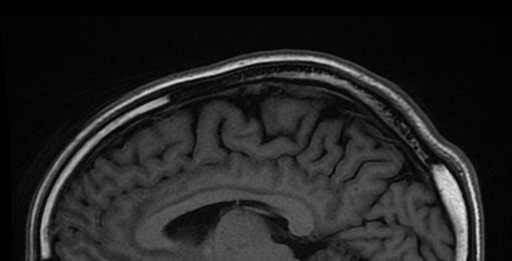
Аппарат МРТ мощностью 11.7 Тесла проекта Iseult сделал замечательные анатомические изображения живых существ. человек мозг участников. Это первое исследование вживую человек мозг с помощью аппарата МРТ с такой высокой напряженностью магнитного поля, который позволил получить изображения с разрешением в плоскости 0.2 мм и толщиной среза 1 мм (что соответствует объему, эквивалентному нескольким тысячам нейронов) за короткое время сбора данных, всего 4 минуты.
Изображение человек мозг с этим беспрецедентным разрешением с помощью аппарата Iseult MRI позволит исследователи раскрыть новые структурные и функциональные детали человек мозг которые могут пролить свет на то, как мозг кодирует мысленные представления или что такое нейронные сигнатуры сознания. Новые открытия могут помочь в диагностике и лечении нейродегенеративных заболеваний, таких как болезнь Альцгеймера и Паркинсона. Эта машина также может помочь в обнаружении химических веществ, участвующих в метаболизме мозга, которые иначе не могут быть обнаружены с помощью МРТ-аппаратов с более низкой напряженностью магнитного поля.
Этот МРТ-сканер с мощностью 11.7 Тесла проекта Iseult является самым мощным в мире. человек аппарат МРТ всего тела, установленный в NeuroSpin в CEA-Париж-Сакле. Первые изображения были предоставлены в 2021 году, когда они отсканировали тыкву и предоставили изображения с разрешением 400 микрон в трех измерениях, что подтвердило эффективность процесса.
In человек В системах МРТ напряженность магнитного поля 7 Тесла или выше называется сверхсильным полем (УВЧ). В 7 году было одобрено 2017 МРТ-сканеров Tesla для визуализации головного мозга и мелких суставов. В мире работает более ста аппаратов МРТ мощностью 7 Т. До недавнего успеха МРТ-сканера 11.7 Тесла проекта Iseult, МРТ 10.5 Тесла в Университете Миннесоты была самым мощным МРТ-аппаратом, работающим в эксплуатации и генерирующим изображения in vivo.
Французско-немецкий проект Iseult по созданию МРТ-сканера мощностью 11.7 Тесла был запущен Французской комиссией по альтернативной и атомной энергии (CEA) в 2000-х годах. Целью было разработать «человек исследователь мозга». Проект объединил промышленных и академических партнеров, и на его реализацию ушло два десятилетия. Это технологическое чудо, которое произведет революцию в исследованиях мозга.
В дальнейшем немецкая сеть сверхвысокопольной визуализации (GUFI) работает над созданием аппарата для исследования всего тела с силой поля 14 Тесла. человек Система МРТ как национальный исследовательский ресурс в Германии.
Ссылки:
- Французская комиссия по альтернативной и атомной энергии (CEA), 2024 г. Пресс-релиз – Мировая премьера: изображение живого мозга с непревзойденной четкостью благодаря самому мощному в мире аппарату МРТ. Опубликовано 2 апреля 2024 г. Доступно по адресу: https://www.cea.fr/english/Pages/News/world-premiere-living-brain-imaged-with-unrivaled-clarity-thanks-to-world-most-powerful-MRI-machine.aspx
- Булан Н., Кеттье Л. и Консорциум Изолт. Ввод в эксплуатацию МРТ всего тела Iseult CEA 11.7 T: текущий статус, тесты взаимодействия градиента и магнита и первый опыт визуализации. Magn Reson Mater Phy 36, 175–189 (2023). https://doi.org/10.1007/s10334-023-01063-5
- Бихан Д.Л. и Шильд Т., 2017. Человек МРТ головного мозга на частоте 500 МГц, научные перспективы и технологические проблемы. Наука и технология сверхпроводников, том 30, номер 3. DOI: https://doi.org/10.1088/1361-6668/30/3/033003
- Лэдд, М.Э., Квик, Х.Х., Спек, О. и др. Путь Германии к 14 Тесла человек магнитный резонанс. Magn Reson Mater Phy 36, 191–210 (2023). https://doi.org/10.1007/s10334-023-01085-z
